1. Niveles de organización
Cuando estudiamos la materia que forma nuestro entorno la organizamos en distintos niveles de complejidad para facilitar nuestro aprendizaje: son los niveles de organización. Los más relevantes son los siguientes:
Presentación: Niveles de organización
El paso de un nivel de organización al siguiente ocurre cuando aparecen una serie de propiedades nuevas que no pueden explicarse si estudiamos los componentes del nivel anterior por separado. Estas son las propiedades emergentes.
Un ejemplo de las mismas sería que si estudiamos a los protones, neutrones y electrones por separado no podríamos saber cuáles son las propiedades de los diferentes átomos. O si estudiamos a las moléculas que forman a un ser vivo no podríamos adivinar cuáles son las propiedades de una planta o un insecto.
En este curso vamos a estudiar al ser humano que tiene las siguientes características:
a) Está compuesto por unas moléculas llamadas biomoléculas (bio=vida).
b) Es capaz de mantener las condiciones físico-químicas del cuerpo constantes (homeostasis).
c) Realiza las tres funciones vitales: nutrición, relación y reproducción. Su nutrición es heterótrofa (obtiene su materia y energía consumiendo otros seres vivos) y su reproducción es sexual (produce células especializadas llamadas gametos que se unen en la fecundación para generar a un nuevo ser humano).
d) Es un organismo pluricelular. Esto significa que está formado por un gran número de células especializadas en diferentes tejidos.
e) Presenta numerosos órganos, formados por la unión de varios tejidos, que realizan funciones complejas y que se agrupan a su vez en sistemas y aparatos para realizar las tres funciones vitales.
En este tema NO vamos a estudiar las biomoléculas y lo dejaremos para la UD 2 porque hablaremos en ella de los nutrientes. Por lo tanto vamos a estudiar la célula, los tejidos, los órganos, y los sistemas y aparatos.
2. La célula animal
Los seres humanos estamos formados por células (unos 30-40 billones) de unos 200 tipos diferentes. Todas nuestras células son células eucariotas animales.
Recordemos de 1º ESO que las células eucariotas son aquellas que tienen membranas internas (y por lo tanto un núcleo con el ADN separado del citoplasma así como orgánulos membranosos). También que las células animales se distinguen de las vegetales principalmente porque son heterótrofas y carecen de cloroplastos y pared celular de celulosa.
Vamos a estudiar brevemente las partes de la célula humana sabiendo que en cada tipo de célula del cuerpo varía la forma, el tamaño y la proporción de estas partes pero en todas existen las mismas.
La célula animal consta de TRES grandes regiones: la membrana plasmática (que separa el interior de la célula del exterior), el citoplasma (que contiene los orgánulos celulares) y el núcleo (que contiene y protege el material hereditario).
2.1 La membrana plasmática
La membrana plasmática es una doble capa (bicapa) fluida (sus componentes se mueven todo el tiempo) formada por lípidos y proteínas que delimita a la célula separando el exterior y el interior de la misma.
A) LÍMITE CELULAR; la membrana celular funciona como “la piel” de la célula separando el medio externo a la célula del medio interno de la misma. En la fotografía vemos como se observa la membrana celular al microscopio electrónico.
B) INTERCAMBIO DE SUSTANCIAS; la membrana celular funciona como un límite fronterizo y es la responsable de controlar que entra y que sale de la célula.
Es una membrana semipermeable que permite pasar libremente al agua, los lípidos y a pequeñas moléculas sin carga como el oxígeno o el dióxido de carbono. Sin embargo las sustancias grandes, como las proteínas, y las sustancias polares o con carga eléctrica (como los iones o los glúcidos) NO pueden pasar.
C) COMUNICACIÓN INTERCELULAR; ya hemos estudiado que los seres humanos somos organismos pluricelulares. Los billones de células de nuestro organismo deben ser capaces de comunicarse para poder trabajar juntas y esto lo consiguen gracias a sus membranas celulares.
Las membranas celulares presentan en su cara externa unas proteínas llamadas receptores de membrana que reconocen a las sustancias químicas que usan las células para comunicarse (como las hormonas o los neurotransmisores).
También presentan una serie de proteínas (antígenos) que funcionan como un “carnet de identidad” y que permite que sean reconocidas por las defensas del cuerpo.
2.2 El citoplasma
El citoplasma es la zona de la célula comprendida entre la membrana plasmática y el núcleo de la célula.
Esta formado por el hialoplasma o citosol, (un medio acuoso), el citoesqueleto (una red de filamentos y túbulos) y los orgánulos citoplasmáticos (estructuras especializadas que realizan determinadas funciones celulares).
2.2.1 Hialoplasma o citosol
El hialoplasma es el medio acuoso que llena y da volumen a la célula. Está formado por agua (75-85%) y diversas biomoléculas.
Es un medio de viscosidad variable que en ocasiones y zonas está más líquido (estado sol) o más viscoso/gelatinoso (estado gel). Además de proporcionar el volumen celular en él se van a producir muchas de las reacciones químicas (metabólicas) de la célula.
2.2.2 Citoesqueleto
Es una red de filamento proteicos que se encuentra en el hialoplasma y permite mantener la estructura y forma celular, los movimientos celulares, mantener a los orgánulos en su sitio y moverlos cuando es necesario y llevar a cabo la división celular cuando la célula se divida.
2.2.3 Orgánulos citoplasmáticos
Los orgánulos más importantes de las células animales son:
A) Centrosoma o centriolos; el centrosoma está formado por dos centriolos orientados perpendicularmente. Su función es organizar los microtúbulos y son fundamentales en la división celular.
B) Cilios y flagelos; son prolongaciones del citoplasma, recubiertas por la membrana plasmática, que tienen la función de mover el medio externo de la célula o en casos como el espermatozoide el movimiento de la propia célula.
La estructura de los cilios y flagelos es la misma. Se distinguen por el tamaño (cortos/largos), el número (muchos/pocos) y el tipo de movimiento (batimiento/hélice).
C) Ribosomas; pequeños orgánulos sin membrana presentes en todas las células, incluidas las procariotas. Son tan pequeños que al microscopio electrónico los vemos como puntitos. Están formados por dos subunidades y su función es fabricar las proteínas que la célula necesita.
D) Retículo endoplasmático; es todo un sistema de membranas que forman una red muy compleja de túbulos y sacos por el citoplasma. Presenta dos tipos:
· Retículo endoplasmático rugoso (R.E.R.); está conectado a la envoltura nuclear y presenta ribosomas unidos a la cara externa de su membrana. Su función es fabricar, almacenar y transportar proteínas.
· Retículo endoplasmático liso (R.E.L.); está conectado al R.E.R. Y NO presenta ribosomas unidos a la cara externa de su membrana. Su función es fabricar, almacenar y transportar lípidos así como destruir muchas sustancias tóxicas para la célula.
E) Aparato de Golgi; orgánulo membranoso formado por un conjunto de sáculos apilados. En ocasiones hay más de un conjunto de sáculos en la célula por lo que llamamos dictiosoma (su forma al microscopio recuerda a una huella digital) al conjunto de sáculos y aparato de Golgi a todos los dictiosomas que haya en la célula.
Es un orgánulo polarizado con una cara cis por donde entran las vesículas y una cara trans por donde salen. Su función principal es el procesamiento y empaquetamiento de sustancias que saldrán con destino a la membrana celular o formarán nuevos orgánulos con membrana (lisosomas, vacuolas, ...)
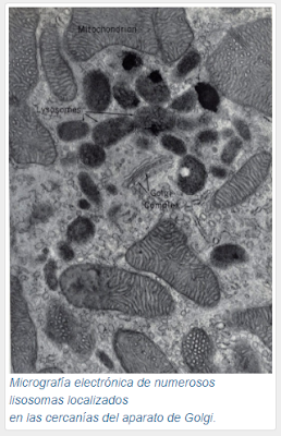
F) Lisosomas; los lisosomas son orgánulos celulares globulares, aunque presentan formas muy diversas. Se originan a partir del aparato de Golgi, de la misma manera que se originan las vesículas de secreción. Constituyen el aparato digestivo de la célula.
G) Vacuolas; son vesículas de forma globular y tamaño variable destinadas a almacenar todo tipo de sustancias. Se forman a partir del R.E., del aparato de Golgi o de la membrana plasmática (endocitosis).
H) Mitocondrias; son orgánulos citoplasmáticos con doble membrana y cuya función principal es la obtención de energía mediante la respiración celular.
glucosa + O2 → CO2 + H2O + energía
2.2.4 El núcleo celular
El núcleo celular está delimitado por una doble membrana llamada envoltura nuclear. En su interior se encuentra protegido el ADN de la célula unido a una serie de proteínas formando la cromatina.
Cuando la célula no se está dividiendo observamos zonas más claras y zonas más oscuras en la cromatina incluyendo un área mucho más oscura, el nucleolo.
Cuando la célula se va a dividir el núcleo se rompe y la cromatina se condensa convirtiéndose en los cromosomas, que se repartirán entre las dos células hijas.
3. Los tejidos humanos
Definimos un tejido como una agrupación de células, normalmente con la misma forma, que desempeñan una misma función.
Aunque tenemos muchos tipos de células diferentes que forman los distintos tejidos TODAS ellas proceden de una única célula: el cigoto o zigoto, que se forma cuando se unen el espermatozoide y el óvulo en la fecundación.
A partir del cigoto se forman unas células embrionarias indiferenciadas llamadas células totipotentes o células madre que pueden dar lugar a todas las células especializadas del cuerpo humano. A este proceso se le llama diferenciación celular.
Vamos a distinguir cuatro grandes tipos de tejidos: epitelial, conectivo, muscular y nervioso.
3.1 Tejidos epiteliales
Los tejidos epiteliales recubren la superficie corporal, tapizan las cavidades internas del organismo y envuelven a los distintos órganos. Las células se van a disponer pegadas unas con otras sin dejar espacios y, por lo tanto, sin sustancia intercelular.
Distinguimos dos grandes tipos de tejidos epiteliales según su función: los epitelios de revestimiento (cuya función es servir de barrera entre el exterior y el interior del organismo o del órgano) y los epitelios glandulares (cuya función es producir y segregar distintas sustancias químicas).
3.1.1 Tejidos epiteliales de revestimiento
Las cavidades huecas de nuestro organismo, como la boca, se encuentran tapizadas por epitelio de revestimiento. Este epitelio se denomina mucosa al encontrarse siempre húmedo y recubierto por una mucosidad. Puede tener una o varias capas de células y estas pueden ser planas, cúbicas o cilíndricas dependiendo de su función.
Bajo estas células siempre hay una capa que las soporta que se llama lámina basal.
3.1.2 Tejidos epiteliales glandulares
Las células secretoras del tejido epitelial pueden estar aisladas pero en muchas ocasiones se agrupan formando unas estructuras que se llaman glándulas. Podemos distinguir entre tres tipos:
a) glándulas endocrinas; vierten las sustancias químicas a la sangre. Por ejemplo las glándulas que producen hormonas, como el tiroides.
b) glándulas exocrinas; vierten las sustancias químicas al exterior del organismo o a las cavidades internas. Por ejemplo las glándulas sudoríparas.
c) glándulas mixtas; vierten sustancias químicas a la sangre y otras sustancias químicas al exterior. Por ejemplo, el páncreas vierte la hormona insulina a la sangre y el jugo pancreático al intestino delgado.
3.2 Tejidos conectivos
Los tejidos conectivos presentan células bastante separadas y con una sustancia intercelular muy abundante. Esta sustancia intercelular se llama matriz extracelular y está integrada por el conjunto de sustancias que se encuentran en el exterior de las células.
Podemos distinguir cinco tipos básicos de tejidos conectivos: conjuntivo, adiposo, cartilaginoso, óseo y sanguíneo.
3.2.1 Tejidos conectivos conjuntivos
Se sitúa en la capa de profunda de la piel y rellena los huecos entre los órganos. También se encuentra uniendo (tendones), envolviendo y reforzando todos los órganos del cuerpo.
Presenta unas células llamadas fibroblastos o fibrocitos que producen fibras de colágeno y de elastina. Cuanto más resistencia deba tener el tejido más fibras tiene.
3.2.2 Tejido conectivo adiposo
Los tejidos adiposos están formados por unas células especiales llamadas adipocitos que acumulan grasa en su interior. Estos tejidos aparecen bajo la piel para aislarnos del frío (panículo adiposo) y entre los órganos tanto como reserva de energía como de amortiguador de los golpes (grasa visceral).
En los bebés aparece un tipo especial de tejido adiposo: es el tejido adiposo marrón (el normal es el blanco) cuya función es quemar grasa para producir calor y que el bebé, que es muy pequeño y lampiño, no se quede frío.
3.2.3 Tejido conectivo cartilaginoso
Los tejidos cartilaginosos están formados por unas células llamadas condrocitos que segregan una matriz extracelular firme pero elástica. Las células van a quedar agrupadas en una cavidades o lagunas.
Su función va a ser servir de tejido de sostén elástico (es sólido pero flexible). Otra función es servir de amortiguador y protector en las articulaciones, como la rodilla, al ser capaz de absorber impactos y recuperar su forma.
3.2.4 Tejido conectivo óseo
Están formados por unas células llamadas osteocitos que se disponen en lagunas que se comunican a través de laminillas. Los osteocitos segregan una matriz muy rica en sales minerales (fosfato de calcio) que lo hacen rígido. Se van a disponer concéntricamente alrededor de un canal central por el que discurren los capilares y un nervio.
Su función es servir de soporte esquelético al organismo al formar los huesos que, al ser rígidos, no se doblan.
El tejido conectivo sanguíneo o hematopoyético se origina en la médula ósea de los huesos. A partir de las células madre de la médula se forman los eritrocitos (glóbulos rojos) que transportan el oxígeno, los leucocitos (glóbulos blancos) que defienden al cuerpo y los trombocitos (plaquetas) que ayudan a la coagulación de la sangre si hay hemorragias.
La matriz extracelular de este tejido es líquida y se llama plasma sanguíneo.
La principal función de la sangre es transportar los nutrientes y los desechos por todo el cuerpo pero también se encarga de luchar contra las enfermedades, controlar la temperatura y el pH del organismo, y transportar las hormonas con las instrucciones a los distintos órganos y tejidos.
3.3 Tejido muscular
El tejido muscular está formado por unas células llamadas fibras musculares o miocitos. Estas células alargadas se caracterizan por su capacidad de contraerse y, por lo tanto, son las responsables del movimiento.
Hay tres tipos principales de tejido muscular según sus fibras:
A) Fibra muscular lisa; sus fibras musculares son cortas, solo tienen un núcleo y no tienen bandas. Su contracción es lenta e involuntaria pero no se fatigan. Permiten el movimiento y la contracción de los órganos internos (estómago, arterias, útero, …).
B) Fibra muscular estriada; sus fibras musculares tienen bandas transversales. Distinguimos dos tipos:
· Músculo estriado esquelético; forma los músculos. Sus fibras musculares son muy grandes y alargadas y poseen muchos núcleos. Su contracción es rápida y voluntaria pero se fatigan. Permiten los movimientos del esqueleto y, por lo tanto los movimientos corporales y el desplazamiento.
· Músculo estriado cardíaco; forman el corazón. Sus fibras musculares son cortas y solo tienen un núcleo. Su contracción es rápida e involuntaria y no se fatigan. Su función es el latido cardíaco.
3.4 Tejido nervioso
El tejido nervioso transmite información entre las diferentes partes del organismo en forma del impulso nervioso y coordina su funcionamiento. Está formado por dos tipos de células:
A) Neuronas; son las células fundamentales del tejido nervioso. Están tan especializadas que una vez desarrolladas no pueden dividirse y se encargan de generar y transmitir el impulso nervioso.
B) Células de la glía; son células acompañantes que se encargan de proporcionar nutrientes, eliminar desechos y proteger a las neuronas.
4. Órganos, sistemas y aparatos del cuerpo
Los órganos son estructuras formadas por la unión de varios tejidos que van a trabajar de forma coordinada para llevar a cabo una función compleja. Por ejemplo, el estómago o el corazón.
Los sistemas y aparatos son un conjunto de órganos y tejidos que trabajan coordinadamente para llevar a cabo las funciones vitales del organismo. Recuerda que la diferencia entre sistema y aparato es que en los sistemas tiene un tejido mucho más abundante que los demás y los aparatos no.
4.1 Función de nutrición
Es el conjunto de procesos por los cuales el organismo obtiene las diferentes sustancias que necesita para vivir, aportando la energía y los elementos necesarios para las estructuras y el buen funcionamiento del organismo. Comprende a:
a) Aparato digestivo: obtiene los alimentos, los convierte en nutrientes (que pasan a la sangre) y elimina los excrementos.
b) Aparato respiratorio: obtiene el oxígeno (nutriente) y elimina el dióxido de carbono (desecho).
c) Aparato circulatorio: lleva los nutrientes a todo el organismo y recoge los desechos que lleva al aparato excretor.
d) Aparato excretor: elimina los desechos formados por la actividad metabólica del organismo.
4.2 Función de relación
Es el conjunto de procesos que permite a los seres vivos detectar y obtener información del medio en el que viven y tomar las decisiones acertadas para elaborar una respuesta adecuada y responder al entorno para poder adaptarse y sobrevivir. Comprende a:
a) Órganos de los sentidos: captan la información.
b) Sistema nervioso: integran la información, elaboran una respuesta, y la mandan a los efectores.
c) Sistema endocrino: llevan a cabo una respuesta química mediante las hormonas.
d) Aparato locomotor: llevan a cabo una respuesta motora.
4.3 Función de reproducción
La reproducción es el conjunto de procesos biológicos que permiten la creación de nuevos organismos, siendo una característica común de todas las formas de vida conocidas.
a) Aparato reproductor femenino; se encarga de producir los óvulos, posibilitar su encuentro con los espermatozoides (fecundación) y albergar y nutrir al embrión y el feto durante su desarrollo.
b) Aparato reproductor masculino; se encarga de producir los espermatozoides y depositarlos en el aparato reproductor femenino.
Y con esto terminamos el tema.




















No hay comentarios:
Publicar un comentario